Hallan una nueva diana molecular para combatir cánceres agresivos
10/02/2014 · No comments
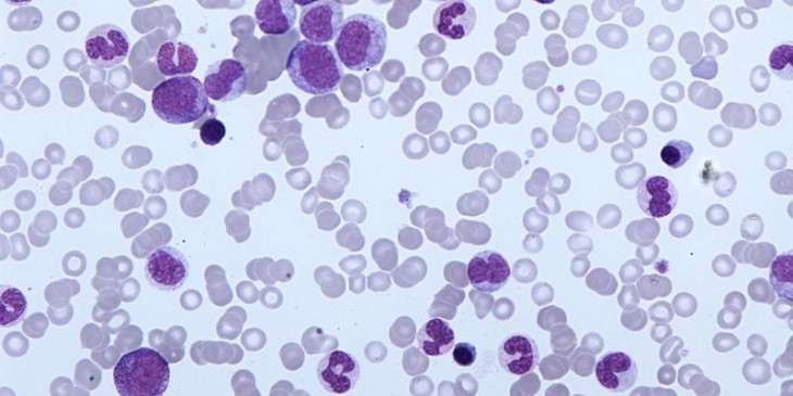
Colima, Col., 10 de febrero 2014 (Colima Medios) El análisis de los genomas de dos hermanas…
Read the rest of this entry
Analisís político: Asegurados en 2021, Virgilio y Locho
Análisis Político: Los aspirantes en Coquimatlán en el 2021
Análisis político:La Alternancia Municipal en la Villa
Análisis Político:Virgilio e Indira serán Candidatos
En 2019 incrementó el número de secuestros de mujeres en México
Día de la Bandera: ¿Por qué se celebra el 24 de febrero?
Nintendo Switch, smartphones Xiaomi y tequila: los productos más vendido en Mercado Libre durante El Buen Fin 2019 en México
Un adolescente gana 46.000 dólares en un torneo de videojuegos, pero la ley de Japón le prohíbe cobrarlos
En estudio dos nuevos casos de coronavirus Covid-19 en Colima
Instalan el Centro Estatal de Trasplantes de Colima
Confirmado: Fue negativo el caso sospechoso de Coronavirus en Colima
Información para personal de salud sobre el coronavirus